Dental Implants:
Permanent Solutions at Dentalane

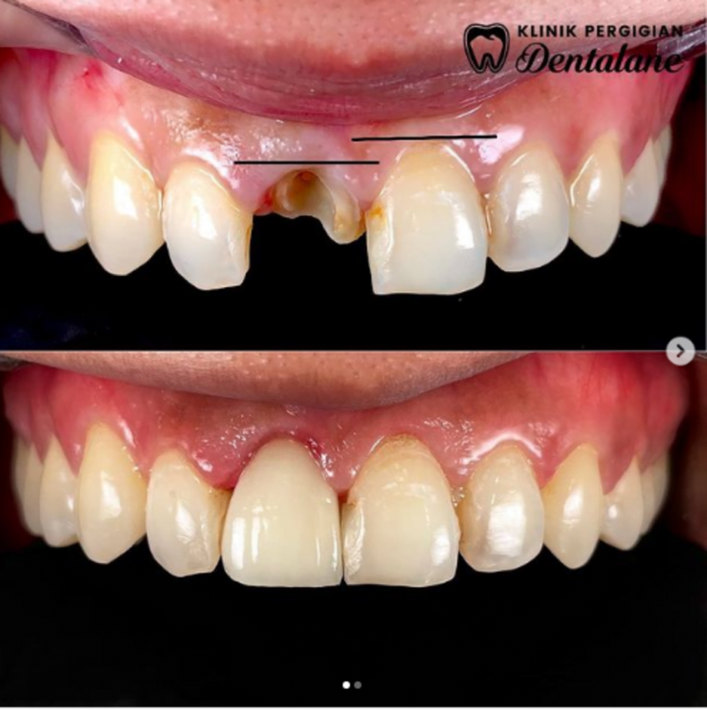
implant
implant2

Advanced Solutions for Missing Teeth

Missing teeth can significantly impact your daily life, from eating to speaking and smiling. At Klinik Pergigian Dentalane, we offer state-of-the-art dental implant services to restore your smile’s functionality and aesthetics. Our experienced team ensures a seamless and comfortable experience, bringing back your confidence with every smile.
 
Dental implants are a permanent solution for replacing missing teeth. They consist of a titanium post that is surgically inserted into the jawbone, acting as a root for the artificial tooth (crown) that is mounted on top.
 
The process begins with a detailed assessment of your oral health. If you’re a suitable candidate for implants, the titanium post is surgically placed into the jawbone. After a healing period, during which the implant integrates with the bone, a custom-made crown is attached to the post, completing your new, natural-looking tooth.

Why Choose Dental Implants?

Benefit

• Long-lasting and durable
• Look and feel like natural teeth
• Prevent bone loss and maintain facial structure
• Improve speech and chewing ability
• Do not require altering adjacent teeth

Risks of Neglect

• Further bone loss in the jaw
• Shifting of remaining teeth
• Altered facial structure
• Decreased self-esteem

services img details2

Signs You Need the Service

• Missing one or more teeth
• Difficulty chewing or speaking
• Dissatisfaction with dentures or bridges

Recommended Frequency

Consultation is required to assess suitability for dental implants.

Price of the Service

The cost varies depending on the number of implants and the complexity of the case. Please contact us for a detailed consultation and pricing.

Book Dental Appointment

We Are open And Welcoming Patients

Testimonial

What our patient say

Frequently Ask Questions

With proper care, dental implants can last a lifetime.

The procedure is performed under local anesthesia, minimizing discomfort. Post-procedure pain is typically mild and manageable.

Healing varies, but most patients resume normal activities within a few days.

Most adults in good health are suitable candidates, but a thorough evaluation is necessary.

Regular brushing, flossing, and dental check-ups are essential for maintaining implants.

Visit our Branch

alam damai

Dentalane Alam Damai

No 60, Jalan Damai Raya 2, Alam Damai, 56000 Cheras, WP Kuala Lumpur.

sierra

Dentalane Sierra 16

No 21, Tingkat 1, Jalan Sierra 10/1, Bandar 16 Sierra, 47120 Puchong, Selangor