Tooth Filling

RESTORE YOUR SMILE WITH TOOTH FILLING AT KLINIK PERGIGIAN DENTALANE

Effective and Long-lasting Solutions for Tooth Decay and Cavities

Tooth decay is a common dental issue that affects people of all ages. At Klinik Pergigian Dentalane, we offer tooth filling services to restore the function and appearance of your teeth. Our expert dentists use state-of-the-art materials and techniques to ensure a comfortable and effective treatment.
 
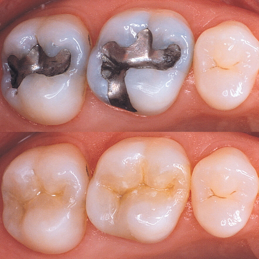
Tooth filling is a dental procedure used to restore the integrity and function of a tooth damaged by decay or trauma. The process involves removing the decayed material, cleaning the affected area, and filling it with a restorative material.
 
The tooth filling procedure at Klinik Pergigian Dentalane is straightforward. After administering a local anesthetic to numb the area, our dentists will remove the decayed portion and clean the tooth. The cavity is then filled with a suitable material like composite resin or amalgam.
tooth fillings Filling Before After NYC
Filling 1024x1024 1

Why Do You Need Tooth Filling?

Benefit

• Restores tooth function
• Prevents further decay
• Improves oral health
• Enhances aesthetics

Risks of Neglect

• Tooth loss
• Gum disease
• Systemic infections

Signs You Need the Service

• Tooth sensitivity
• Visible holes or dark spots on teeth
• Pain when biting down

services img details2

Recommended Frequency

It's essential to have regular dental check-ups every six months to catch any signs of decay early.

Price of the Service

The cost of tooth filling varies depending on the material used and the complexity of the procedure. Please consult with our dentists for an accurate estimate.

Testimonial

What our patient say

Frequently Ask Questions

The procedure is generally painless due to the use of local anesthesia.

With proper care, tooth fillings can last for many years.

It’s best to wait until the anesthesia wears off to avoid biting your cheek or tongue.

We offer various materials, including composite resin and amalgam, depending on your needs.

Most dental insurance plans cover tooth filling. Please check with your provider for details.

Visit our Branch

alam damai

Dentalane Alam Damai

No 60, Jalan Damai Raya 2, Alam Damai, 56000 Cheras, WP Kuala Lumpur.

sierra

Dentalane Sierra 16

No 21, Tingkat 1, Jalan Sierra 10/1, Bandar 16 Sierra, 47120 Puchong, Selangor

Book Dental Appointment

We Are open And Welcoming Patients